ground (is) truth

video diptych , 9 min 14 sec, 2025

"Remove the observer, and the world becomes devoid of these sonorous, visual, olfactory, etc., qualities, just as the flame becomes devoid of pain once the finger is removed." (Quentin Meillassoux)

"...it is not difference that immobilizes us, but silence. And there are so many silences to be broken." (Audre Lorde)

The video diptych was developed through regular visits to a pathology laboratory in Prague and conversations with a pathologist. It focuses primarily on the digital pathology of breast carcinoma, while more broadly it explores both human and machine image-nation as a way of interpreting this phenomenon. Digital pathology - like classical pathology – is a discipline of reading and interpreting images. While the mechanical and chemical processes of preparing samples for microscopic diagnosis point to the experimental character of science, digital pathology establishes these slides unequivocally as instrumentally rationalized images, within a logic inaugurated by modern science. Digitized microscopic images, on which artificial intelligence models are trained and subsequently deployed, are designed to enable the most unambiguous “reading” possible – namely, the assignment of a mathematical value or class to a visual pattern. The diptych ground (is) truth translates this semiotics into an editing structure that follows the logic by which convolutional neural networks learn to interpret microscopic slides. At the same time, it places this logic in dialogue with the thought of poet Audre Lorde and her understanding of language as emergent, poetic, and inseparably tied to lived experience. In her notes collected in The Cancer Journals, Lorde sees in poetics a possibility to express what would otherwise remain unspoken, marginalized, or only bodily endured – reminding us that language does not need to be fixed or predefined, but arises together with embodied experience, much like science itself.

ground (is) truth is the title of the work, referring to the term used in training AI models. At the same time, it is a wordplay – a metaphor that, like any other metaphor, opens up multiple interpretive directions. If we accept that illness is one of the ultimate places from which language can be condemned, then with Lorde we can recognize its necessity as all the greater. In the context of end-of-humanity scenarios, in which machines take over their creators, her poetics suggests that neither language nor tools can imprison us on their own – and that any form of technodeterminism appears blind from this perspective. The diptych is thus an exposition of different semiotics and approaches to language, with the intention of opening pathways of diversification in the relations between language and technology.

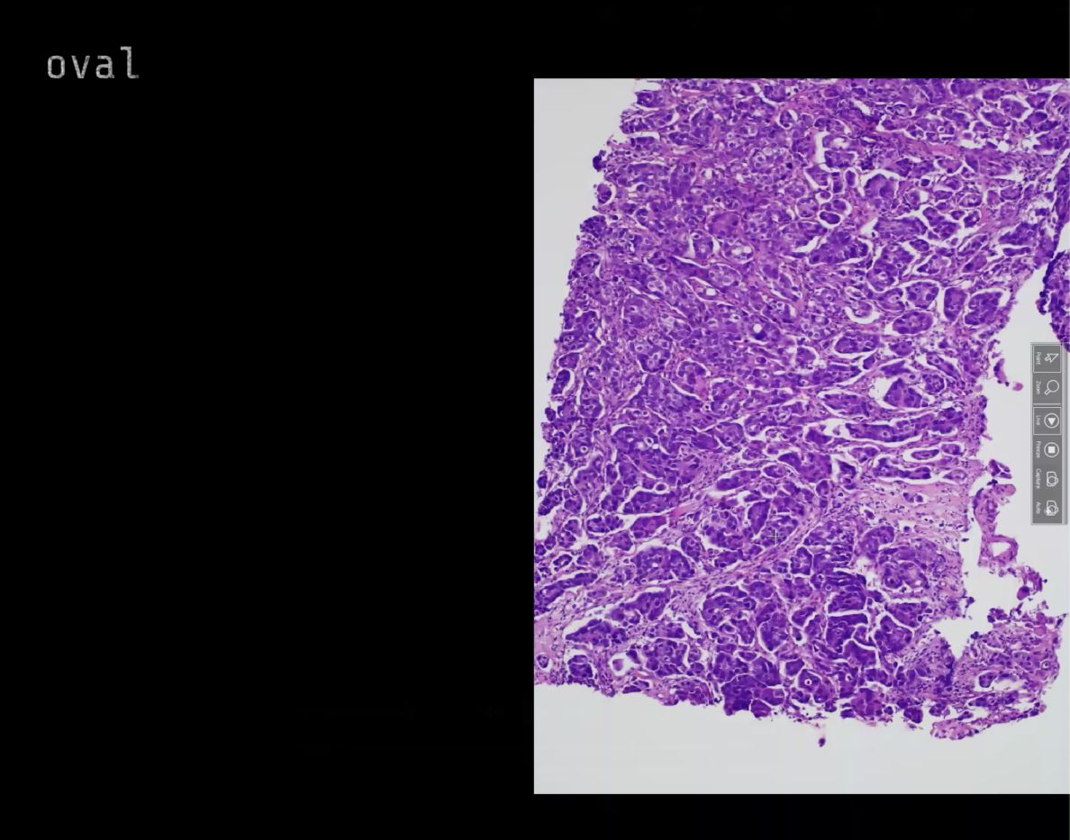
Two-screen video still, ground (is) truth, 2025.
Two-screen video still, ground (is) truth, 2025.
Installation view, ground (is) truth. Photo by Jan Kolský.
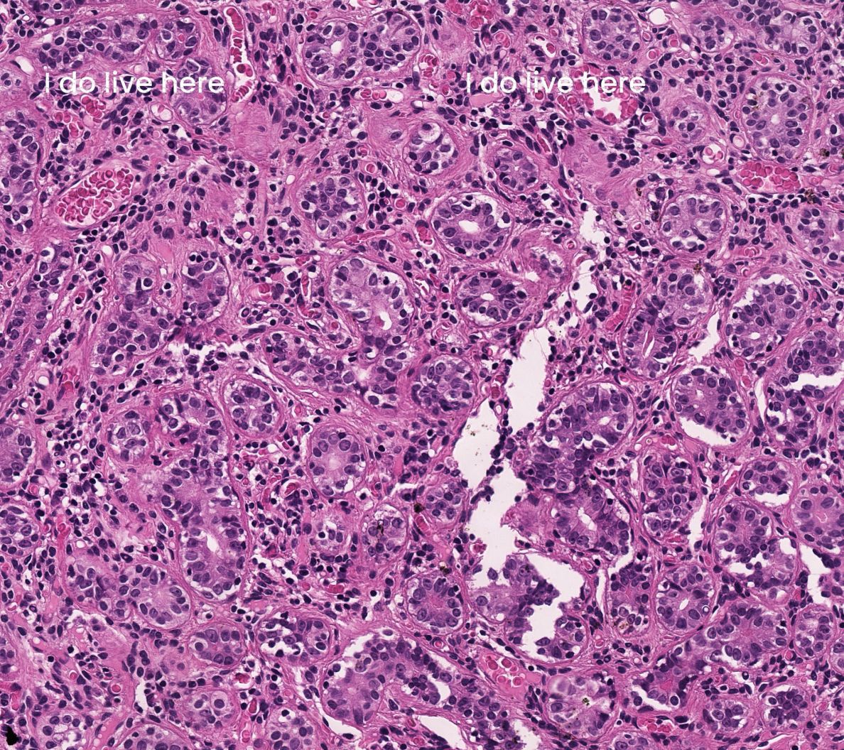
Two-screen video still, ground (is) truth, 2025.
Two-screen video still, ground (is) truth, 2025.
Two-screen video still, ground (is) truth, 2025.